Depuis 45 ans, trois générations de prothésistes dentaires se sont succédées dans le domaine de la prothèse dentaire. Entreprise familiale, le Laboratoire Dufaut réalise tous les travaux de prothèses adjointes et conjointes.
Tous nos travaux sont réalisés en France dans notre laboratoire basé à Lutterbach
Notre équipe se compose de 8 personnes et intervenants.
Afin de garantir à vos patients une prise en charge rapide, les réparations des prothèses sont effectuées dans un délai de 12 à 24 heures.
Notre coursière se charge des livraisons plusieurs fois par jour.

Création du laboratoire par Jean-Pierre Dufaut
Le fils de Jean-Pierre Dufaut, Loris Dufaut, reprend l’entreprise familiale
Le laboratoire investit dans les machines pour suivre la transition numérique
L’équipe s’agrandit avec de nouveaux employés et apprentis
Qualité maximale des travaux réalisés grâce à un savoir-faire optimal.

Rigueur dans le process d’élaboration des prothèses

Réalisation 100% française

Satisfaction totale du client

Communication régulière avec les dentistes

Confiance réciproque avec les dentistes et les patients


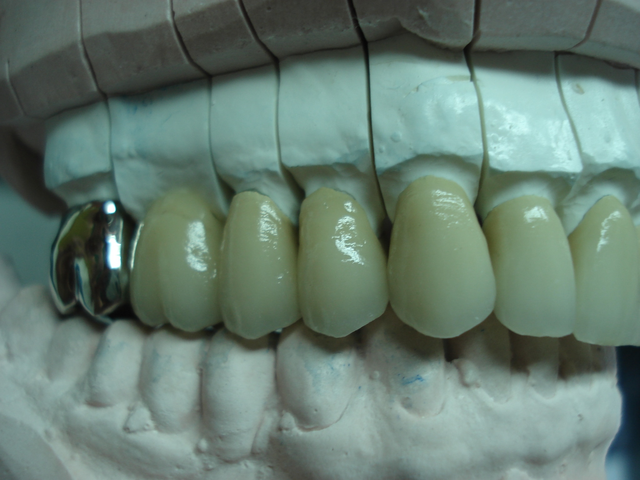
Le laboratoire Dufaut confectionne de nombreuses solutions pour votre dentition : bridges, implants, inlays, afin que toutes les personnes aient droit à un joli sourire !
Depuis Roger Dufaut en 1878, qui a remporté le premier prix en concurrence avec le professionnel de la gravure, toutes les générations de Dufaut accordent une importance primordiale à la qualité et à l’excellence de leurs produits.
Face avant

Face arrière

Profitez de la discrétion de nos bridges en céramique qui s’adaptent parfaitement à votre dentition.

© Depuis 2006 KAREDESS - Création de sites internet à Lutterbach
